All-on-4 Zirconia
Transformation in Costa Rica
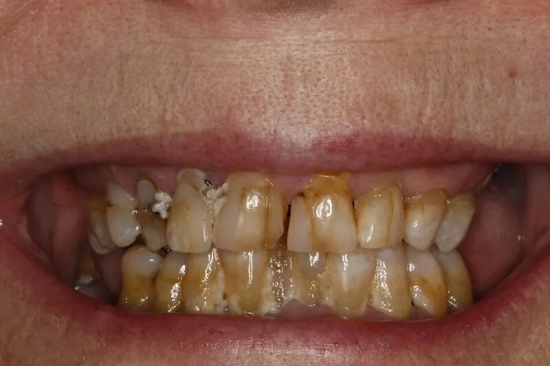
The Challenge
The patient had been suffering from chronic oral pain for a long time. She was unable to chew properly and was completely unhappy with the appearance of her teeth, which significantly affected her quality of life.

The Solution
After a comprehensive evaluation—including a CT scan, clinical and medical examination, and a full set of photographs—we determined that her remaining teeth were no longer viable.
The recommended solution was a full-mouth rehabilitation using upper and lower zirconia All-on-4 implant-supported prostheses, providing a stable foundation to restore function, comfort, and aesthetics.
First Visit
Surgery was performed to extract all remaining teeth and place dental implants in both the upper and lower jaws, following the All-on-4 protocol.
A few days later, the patient was fitted with temporary removable dentures to wear during the six-month healing and implant integration period.
Second Visit
After six months, final digital impressions were taken to begin designing her new smile and bite digitally.
The following day, a plastic prototype was tried in to evaluate function, bite, and aesthetics through clinical examination and photographs. The design was approved by the patient, who also selected the aesthetic details for her final restorations.
Our dental laboratory then fabricated the final zirconia All-on-4 prostheses. A few days later, the definitive restorations were delivered, the bite was adjusted, and the patient was released to test her new teeth in real-life situations.
At the final appointment, minor adjustments were made, a protective mouthguard was delivered, and final X-rays and photographs were taken.
This is one of the happiest patients we have ever treated—now pain-free, able to chew comfortably, and smiling with complete confidence.





